18. nov. 2023Debatindlæg Topledelse i Region Midt er totalt tonedøvHenning GlerupOverlæge, ph.d., formand, Overlægerådet i Silkeborg
13. okt. 2023Kronik Det er alt andet end imponerende, Anders Kühnau: Regionens hospitaler sejlerHenning GlerupOverlæge, ph.d., formand for overlægerådet i Silkeborg
8. sep. 2023IndlandDet er et dødsstød, siger støtteforening: »Efter min mening, så er det her en nedlukning af regionshospitalet«
18. nov. 2021AarhusKühnau gik tilbage – Fredberg fik 50 pct. flere stemmer: Var det sygeplejerske-konflikten?
19. dec. 2020IndlandPresset region lukker akutklinikker: »Næste trin vil være at bede personalet om at arbejde i juleferien«
6. sep. 2020Aarhus»Inkompetente klæber til taburetterne«: Hed debat om ytringsfrihed i Region Midtjylland
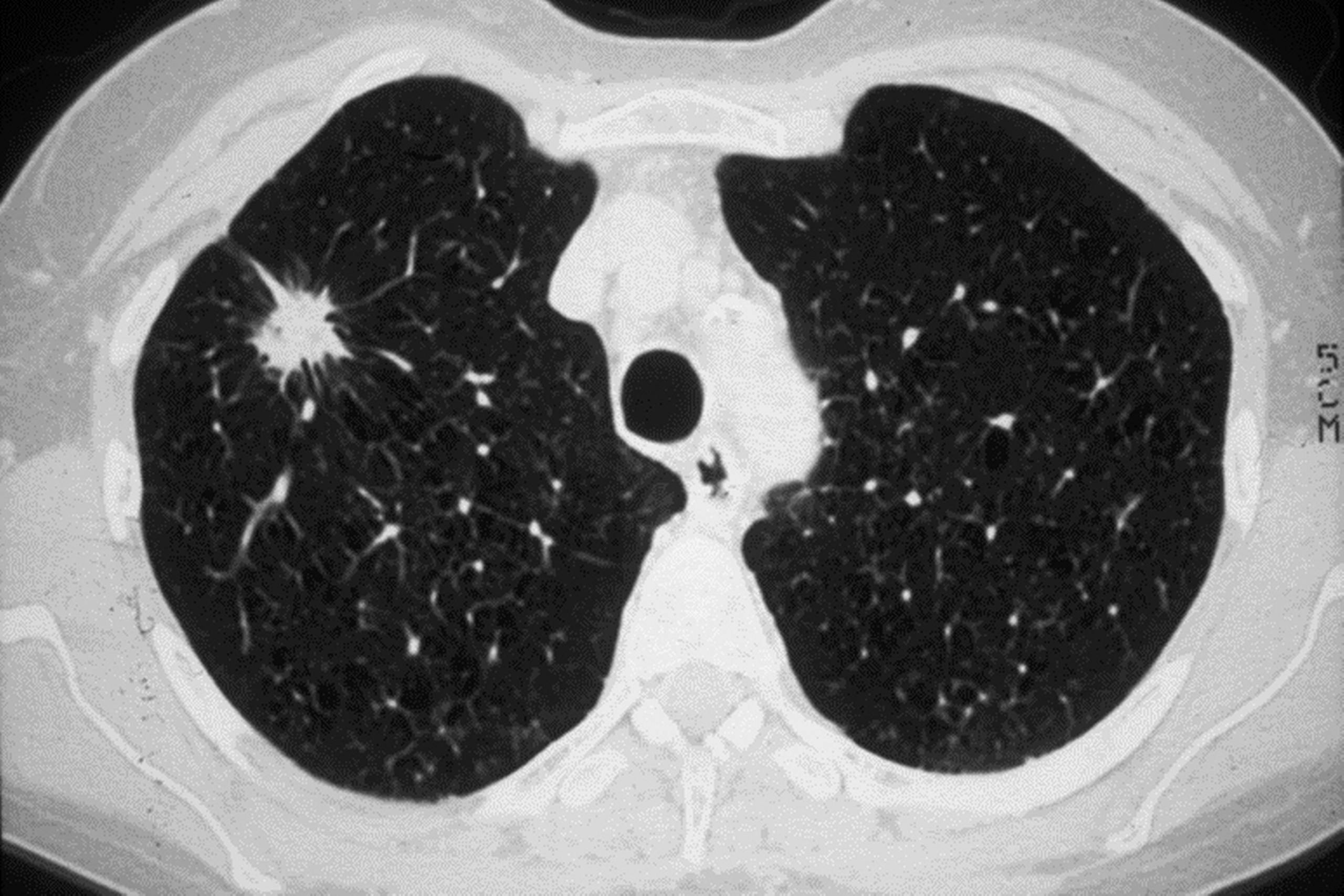
22. jun. 2020AarhusGemmer flere tusinde undersøgelser på kræftfejl? Region overvejer kontrol af gammel røntgenmetode
12. jun. 2020Aarhus Hospitalseksperter er inviteret til forsoningsmøde - men der er ønske om ændringer
18. maj 2020AarhusHospitalsdirektør i kræftsag fra Silkeborg: »Vi er hele tiden blevet lovet forskning og fået vist foreløbige data«
16. maj 2020Aarhus Mistillid, et nyt job og beskyldninger om uvildighed forpurrede lovende kræftforskning
11. maj 2020AarhusHospitalsledelse trods kritik fra regionspolitikere: Pressemeddelelse med trussel om fyring var nødvendig
10. maj 2020Debatindlæg Ulrich Fredberg var fortaler for "de praktiserende lægers hospital”Estrid Muffpraktiserende læge, PhD, praksiskonsulent Diagnostisk Center Silkeborg og Bestyrelsen for PLO Silkeborg
6. maj 2020Aarhus Regionsrådsformand: »Jeg opfordrer alle partier til at afholde sig fra at blande sig i personalesager«
4. maj 2020AarhusKræftsagen i Silkeborg: Fire er sendt i fuld kræftpakke, og en har fået konstateret kræft
30. apr. 2020Aarhus93 patienter skal scannes for kræft igen: En svagere scanning er central i striden om kræfttilbud i Silkeborg