28. mar. 2026IndlandHjerneforskeren vil have dig til at trække stikket fuldstændigt: Mobilen er din værste fjende i pausen
6. sep. 2025LivsstilVores hjerner vokser ved fysisk træning: Særligt én type forbedrer hukommelsen, afslører ekspert
5. jul. 2025Indland Nyt studie viser, at hunde og katte har en skjult egenskab, der gavner deres ejere
7. jun. 2025Viden Én ting stopper motionens gavnlige effekter på hjernen, uanset hvor fysisk aktiv du er
29. jan. 2025LivsstilNy dansk forskning: En særlig type musik kan gøre os klogere på, hvordan vores hjerner ældes
18. sep. 2022VidenKunsten at dyrke en hjerne: På et tidspunkt skal forskerne overveje, hvordan man sikrer, at deres skabninger ikke bliver for livagtige
14. aug. 2022VidenDet kan godt være, at de kan slå mennesket i skak: Men kunstig intelligens halter stadig efter på mange områder
19. maj 2022KulturJacob Risgaard fra Løvens Hule: »Jeg har prøvet mange ting, men aldrig noget som det her. Jeg rystede som et espeløv og havde svedige håndflader«
15. mar. 2021Viden Mennesket er ved at miste evnen til at holde balancen - men der kan gøres noget ved det
31. jul. 2020IndlandHjernemadsen fylder 60 år: »Jo ældre jeg bliver, jo gladere bliver jeg for middelklassebaggrunden fra forstaden«
31. mar. 2020InternationalHvorfor reagerer vi så forskelligt på ekstrem stress? Franske forskere har undersøgt hjernen på terrorofre
10. feb. 2020Mad & Vin1.000 gram grønt om dagen: Mad påvirker humør og hjerne – men kan man ligefrem spise sig til større livsglæde?
14. okt. 2019LivsstilIntelligensforsker: »Er høj intelligens lig med succes i livet? Nej, selvfølgelig ikke!«
19. maj 2019VidenKvinder kan multitaske, mænd er gode til at finde vej: Ny forskning afliver myter om mænds og kvinders hjerner
19. apr. 2019LivsstilNorsk superforsker er 31 år og ved alt om hjernen: »Begrebet ”hjernetræning” er desværre blevet misbrugt en hel del de seneste år«
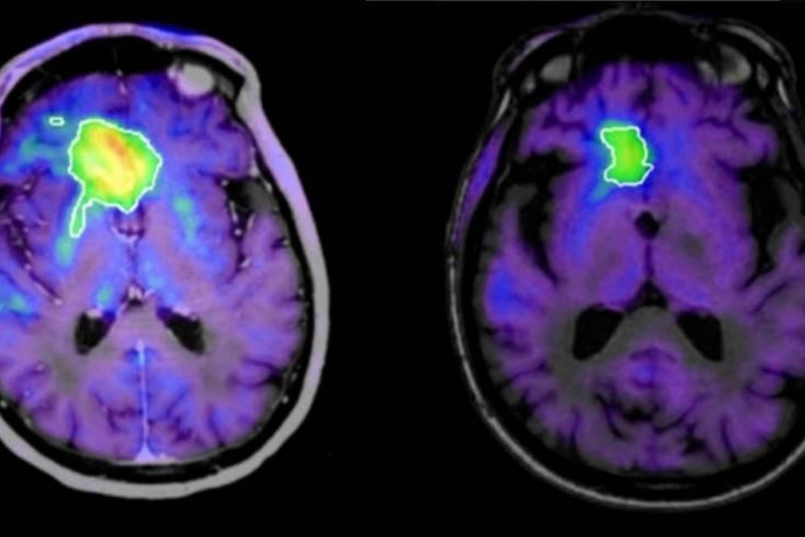
26. nov. 2018Indland»Banebrydende« fremskridt: Ny behandling skal redde Parkinson-patienter fra mange år med opslidende sygdom
2. sep. 2018LivsstilSådan får du nye hjerneceller: Rejs dig fra sofaen, sluk tv'et og prøv denne test
10. jun. 2018IndlandHjerneforsker: Vi render rundt med en stenalder-hjerne, og det er derfor, vi har så svært ved at komme igennem livet uden at ramle ind i stress
7. jun. 2018FrøkjærPodcast: Hjerneforsker Peter Lund Madsen: Det her skal du gøre for at holde din hjerne skarp