Fortsæt til indhold
Kultur

Så meget er Monroes fortrin værd

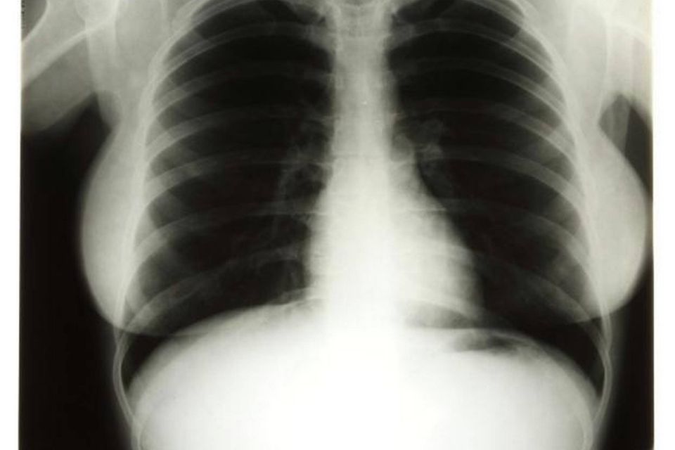
Røntgenbilleder af Marilyn Monroe er solgt til en pris, der er 15 gange højere end forventet.

Om det er Marilyn Monroes lunger eller omridset af hendes barm, der er eftertragtet, må man selv tænke sig til.

Tre røntgenbilleder af den legendariske skuespillers frontparti er på en auktion blevet solgt for 272.000 kr., skriver nyhedsbureauet AP. Det var langt højere, end sælgerne havde forventet, selvom de fleste af Marilyn Monroes ejendele som regel går som varmt brød.

Auktionshuset Julien's Auctions havde regnet med, at billeder kunne sælges for 18.000 kr., men beløbet endte altså med at blive langt højere, da de tre billeder blev solgt søndag på Planet Hollywood Resort and Casino i Las Vegas.

Røntgenlæge gemte billederne

Røntgenbillederne af Marilyn Monroes lunger er fra 1954, hvor hun var indlagt på hospitalet pga. mavesmerter.

Hun var gift flere gange, men på dette tidspunkt var hun gift med Joe DeMaggio, som var en meget stor baseball-stjerne i USA. De var dog ved at blive skilt på dette tidspunkt.

Billederne var sat til salg af en kvinde, som har arvet billederne fra sin far. Han var røntgenlæge og fik i sin tid fat i billederne.

Marilyn Monroe døde som 36-årig i 1962.

LÆS OGSÅ: Monroes sidste ejendele til salg